Вступительное слово
Почему я в принципе пришла к этой теме и решила углубиться. Сейчас, по прошествии восьми лет, за которые мы сделали, наверное, все исследования, которые существуют по аутизму — вплоть до полного секвенирования генома, то есть ребёнок разобран на атомы — пришли к пересмотру того, что было, казалось бы, на поверхности.
Дало ли нам это какую-то конкретику, какие-то механики — неправильное слово, но я его употреблю — лечения? Я бы не сказала. Занятия, многократное повторение, прощупывание и установление руководящего контроля — вот основные методы, которые реально работают в нашей области. Ещё режим, предсказуемость, график, дисциплина. Отчасти нормотипичный подход и некая строгость: мы, родители, слишком трепетны и терпимы, делаем скидку на особенность ребёнка — а они умеют избаловываться хлеще любого нормотипичного.
Но я к чему. Несмотря на всё это, мне постоянно хочется копать, искать, где были предпосылки, где маячки, которые многие упускают. Не чтобы себя поругать — я делаю это уже как исследователь. Тема набирает обороты: и научные, и, к сожалению, лженаучные — идущие по какой-то альтернативной, кем-то монетизированной маршрутизации. Мне не хочется, чтобы родители в этой ситуации верили в сказки. В качестве борьбы я выбираю не молчать. Считаю, что нужно упираться в медицину, исследования, нейробиологию, физиологию — заглядывать в неонатальный и эмбриональный периоды, изучать генетический фундамент и эпигенетику. Медицинского образования у меня нет, но по объёму переработанного материала диплом уже, кажется, пора выдавать.
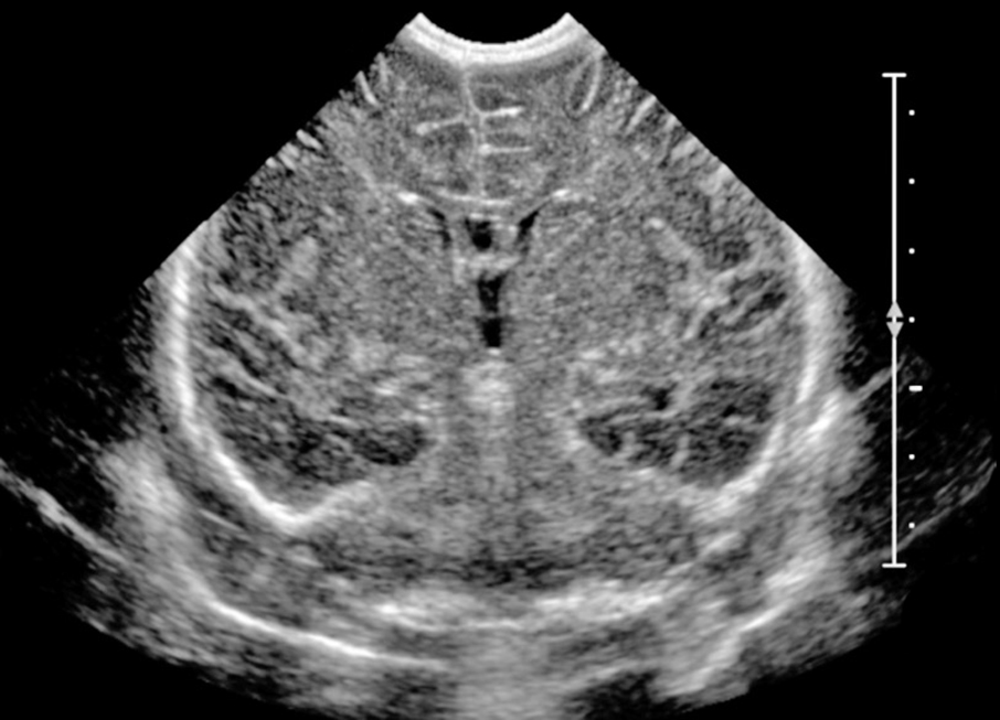
Совсем недавно, поднимая документы перед оформлением инвалидности, я снова смотрела на самую первую нейросонографию Филиппа — ту, что изначально не давала мне покоя. Всё в этой жизни познаётся в сравнении. Я говорю не о деструктивном сравнении — кто лучше, кто хуже — а о том, на что обратить внимание, где насторожиться и что поправить. Со старшей дочерью НСГ делалась ровно по стандарту, каждый раз норма, я даже не вникала зачем. С Филиппом — уже в роддоме появилась формулировка про расширенные ликворные пространства. В силу отсутствия медицинского образования я не поняла сразу, что это. Но, невзирая на рекомендации годик подождать, задалась вопросом. Информации тогда было немного. Что нашла — прочитала, получила поверхностное представление и делала контроль чаще, чем рекомендовалось. Буквально каждый месяц. Находила, где сделать НСГ даже в Черногории. До последнего, пока не закрылся родничок.
Сейчас, оглядываясь назад, я могу смотреть на этот анамнез в динамике. Опираясь на знания, которые накапливаю, я понимаю: физиология и ментальные особенности закладываются последовательно. Материальное — извилины, объём мозга — и нейронные сети должны формироваться в условиях, где внешние помехи минимальны. Как в физике: идеальная система, где суммарное воздействие внешних сил равно нулю. При РАС эта сетка изначально формируется иначе, чем у нейротипичных. Одна из версий опирается на ускоренный рост объёма мозга в первый год жизни — и эти два неочевидных показателя, мне кажется, можно соединить.
У меня возникла мысль: не стали ли расширенные ликворные пространства механическим препятствием для привычного формирования нейронных связей — того, которое происходит у нейротипичных детей без этого отягощения? Когда ликвор пришёл в норму — что мы и видим на МРТ в 4 года, структурных патологических изменений нет — нейронные сети уже были сформированы. Они не брали паузу. Не ждали нормализации, чтобы «проложиться» как надо. Они находили альтернативные пути — не всегда привычные. Отсюда, вероятно, и альтернативный вариант мышления.
Повторюсь: это не поиск точки публичного плача и не попытка посокрушаться. Это попытка зафиксировать момент. Потому что если такая связь существует, родителям стоит знать: не ждать до двух лет, не списывать на «пусть растёт». Давать ложку в руки, сажать на горшок, стимулировать бытовые навыки — механически катализировать образование нейронных связей, пока ещё есть окно. Форсировать рост через преодоление, а не через ожидание.
Моя мотивация в таких постах и исследованиях — либо найти подтверждение своим гипотезам, либо их развеять. И дать пищу для размышления другим родителям, а может быть и медицинскому сообществу. Чтобы следующим поколениям, сложным деткам и их родителям, было проще. Потому что ситуация, мягко говоря, непростая. И при всём моём оптимизме я не отхожу от реалий: с этим надо работать, работать на опережение — чтобы этого становилось меньше и проще.
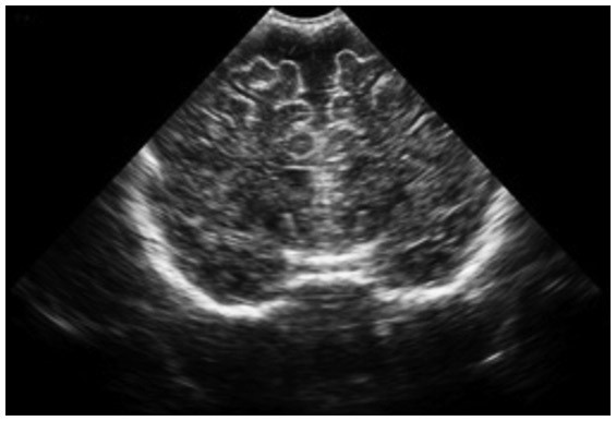
Что такое нейросонография
В первые дни жизни малыша проводится ряд обязательных исследований. Окситоциновая мама наслаждается кормлениями, врачи делают своё дело, и если гром не грянул, никто особо не вдаётся в подробности результатов. Одно из таких исследований — нейросонография. Сегодня разберём один конкретный показатель, который при выявлении рекомендуют брать под контроль и отслеживать в динамике: расширенные ликворные пространства. Это не единственный момент, заслуживающий внимания с первых дней, но начнём с него.
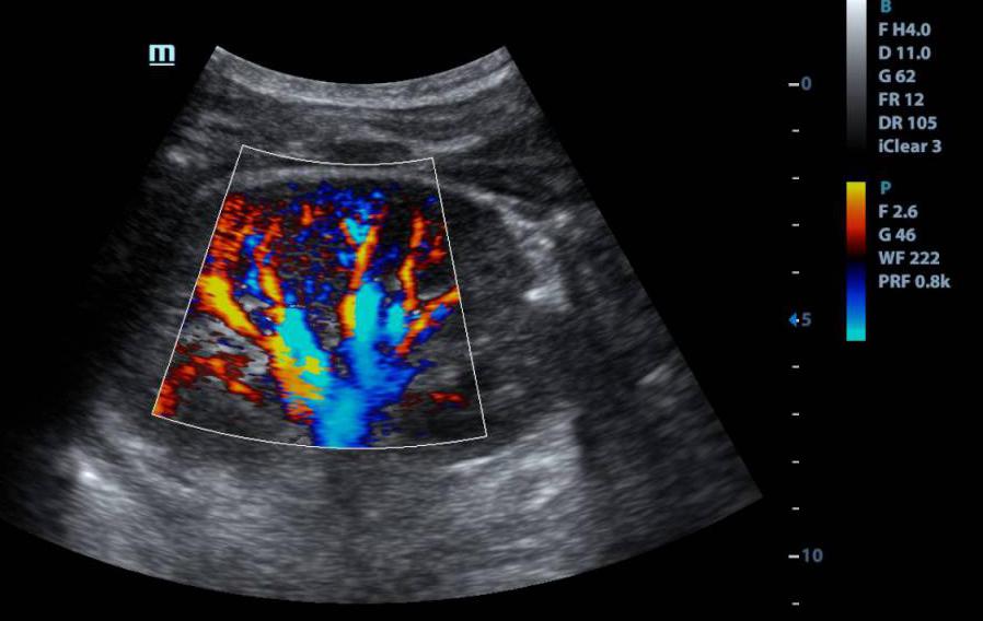
Нейросонография — это ультразвуковое исследование головного мозга, которое проводится через родничок. Пока у ребёнка не закрылся мягкий участок на темечке, через него можно смотреть прямо в мозг: без наркоза, без облучения, без боли. Исследование входит в плановый чек-ап в один месяц, а при необходимости может проводиться с первых часов жизни.
НСГ можно делать вплоть до года, пока открыт большой родничок. После его закрытия, примерно в 12-18 месяцев, стандартный доступ через родничок становится невозможным. Однако существует транскраниальная нейросонография — исследование через височные кости черепа, которые остаются достаточно тонкими для прохождения ультразвука и в более старшем возрасте. Этот метод позволяет оценить состояние желудочковой системы и кровоток, но его информативность ниже: тонкие изменения субарахноидальных пространств он уже не покажет. При необходимости полноценной визуализации после закрытия родничка используется МРТ, которое требует медикаментозной седации у детей раннего возраста.
Изменения на НСГ
К наиболее частым изменениям, обнаруживаемым при НСГ, относятся: увеличение ширины боковых желудочков мозга, расширение субарахноидальных ликворных пространств, наличие псевдокист сосудистых сплетений, признаки структурной незрелости мозга.
Помимо этого НСГ позволяет обнаружить внутричерепные кровоизлияния, гидроцефалию, последствия гипоксии, аномалии развития, признаки повышенного внутричерепного давления. Часть этих состояний никак не проявляется внешне: ребёнок в целом норм, а процесс уже идёт. Именно поэтому НСГ не формальность. Это первый разговор о том, как устроен мозг вашего ребёнка. И его стоит услышать.
Ликвор и его баланс
Ликвор — спинномозговая жидкость. Она омывает мозг снаружи и циркулирует внутри: питает, защищает, выводит продукты обмена. В норме её количество строго сбалансировано: вырабатывается, циркулирует, всасывается. Если баланс нарушен, жидкости становится больше, чем нужно. И это видно на НСГ.
Это может происходить на двух уровнях:
- Наружное расширение: ликвор скапливается снаружи мозга, между корой и оболочками, расширяется субарахноидальное пространство, увеличивается межполушарная щель. Часто сопровождается ускоренным ростом окружности головы. Врачи нередко квалифицируют это как «доброкачественное» и рекомендуют наблюдение. Иногда так и есть. Но это не означает, что наблюдение можно вести формально.
- Вентрикуломегалия: расширение желудочков мозга — внутренних полостей, где ликвор вырабатывается и откуда должен оттекать. Это другой механизм и другой уровень настороженности. Желудочки расширяются, когда нарушен отток или повышено давление изнутри.
Когда присутствуют оба варианта одновременно, система циркуляции ликвора работает с нагрузкой на нескольких уровнях сразу.
Личный опыт: между первой НСГ и чистым МРТ
В выписке Филиппа из роддома, первая НСГ в возрасте 1 месяц, стояло заключение: «эхографически, умеренное расширение наружных ликворных пространств». Я обратила внимание. Не поняла сразу, что это означает, но, невзирая на рекомендации годик подождать, задалась вопросом и начала делать контроль каждый месяц.
В два месяца картина изменилась: к расширению добавились мелкие псевдокисты правого сосудистого сплетения, субэпендимальная псевдокиста справа, изолированное расширение межполушарной щели. К двум годам четырём месяцам прошли расширенное обследование. НСГ провели транскраниально, через височные кости, поскольку родничок к тому времени уже закрывался, и выявили вентрикуломегалию лёгкой степени и признаки внутричерепной гипертензии. УЗДГ показало венозную дисгемию, ЭЭГ — нарушение метаболизма нейронов и ирритацию коры, АСВП — снижение фонематического слуха.
Главный вопрос
МРТ в 4 года показало отсутствие структурных патологических изменений: ликвор нормализовался. Но диагноз РАС есть. И это ставит закономерный вопрос: что происходило в период между первой НСГ и чистым МРТ?
Первые два года жизни — период максимального синаптогенеза. Именно тогда мозг закладывает нейронную архитектуру, с которой человек живёт всю жизнь. В норме субарахноидальное пространство увеличивается с рождения до 7 месяцев, затем убывает и к 2 годам становится минимальным. Нейронные сети формируются параллельно, в тех условиях, которые есть.
Что если расширенные ликворные пространства в этот критический период создавали механическое давление на кору именно тогда, когда она выстраивала связи? Мозг не ждёт нормализации. Он прокладывает пути там, где возможно. Не всегда по привычным маршрутам. Возможно, именно поэтому — альтернативный вариант работы мозга. Это не домысел. Это логика, которую наука уже начала проверять.
Что говорит наука
Группа учёных Университета Северной Каролины (Shen et al.) провела серию независимых работ. У младенцев, у которых впоследствии развился РАС, объём ликвора в субарахноидальном пространстве был на 18% больше уже в 6 месяцев по сравнению с детьми из той же группы риска без РАС, и оставался повышенным вплоть до 24 месяцев. Чем дольше ликвор оставался повышенным, тем тяжелее оказывались коммуникативные симптомы РАС. (Shen et al., Brain, 2013; Biological Psychiatry, 2017).
В 2023 году Garic и Shen опубликовали работу в JAMA Network Open: младенцы с расширенными периваскулярными пространствами имеют в 2,2 раза больший шанс получить диагноз РАС по сравнению с детьми из той же группы генетического риска. К двум годам расширение периваскулярных пространств фиксировалось почти у половины детей, у которых впоследствии диагностировали РАС.
Важно: это корреляция, не доказанная причина. Механизм пока не установлен. Но сам факт того, что такие исследования существуют, воспроизводятся в независимых выборках и финансируются крупнейшими научными институтами, говорит о том, что гипотеза небеспочвенна. Если мысль выстроена на логике, где-то она обязательно прозвучит в унисон.
Рекомендации родителям
Не принимать формулировку «доброкачественное расширение» как повод расслабиться. Требовать динамику: повторные НСГ каждые 1-2 месяца, пока открыт родничок.
- Параллельно наблюдать за развитием: взгляд, реакция на имя, лепет, моторика.
- Если есть сомнения — пройдите опросник M-CHAT прямо у нас на сайте.
- При закрытии родничка и сохраняющихся вопросах обращайтесь за МРТ.
- Не ждать до двух лет. Давать ложку в руки, сажать на горшок, стимулировать бытовые навыки.
Механически катализировать образование нейронных связей, пока ещё есть окно. Форсировать через преодоление, а не через ожидание. Бдительность с первого дня — это не тревожность. Это инструмент.
Однозначного ответа нет. Пища для размышления есть. Наука движется в этом направлении, и игнорировать её сигналы значит упускать время. Анализируйте документы своих детей. Задавайте вопросы специалистам. Проверяйте. Не домыслы — только факты и здравый смысл.